Home / Health / UAE doctors remove rare, grapefruit-sized tumour from woman

UAE doctors remove rare, grapefruit-sized tumour from woman

A woman who had a tumour the size of a grapefruit removed from one of her major veins has recovered from what doctors described as “one of the most complex cases they had ever seen”.

Mai Mohammed, an Egyptian living in Abu Dhabi, visited a private clinic in April after feeling stabbing pains in her right side.

The mother of three was told she had a kidney infection but when the symptoms persisted, she went back for tests.

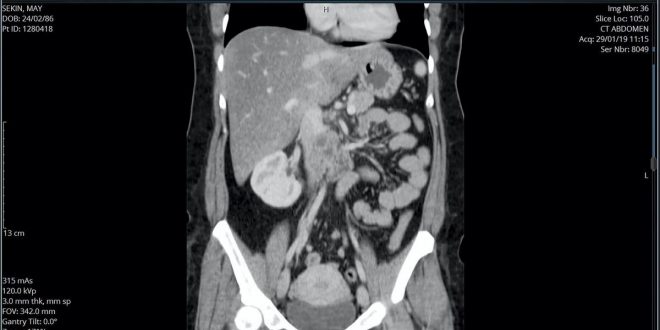
Over three months, X-rays and scans revealed that she had a massive and potentially life-threatening tumour that was pressing on her abdomen.

The malignant tumour was a cancerous growth called a leiomyosarcoma.

Ms Mohammed’s tumour, an extremely rare type of cancer that develops in the soft tissue of the body, grew in the muscle lining of her inferior vena cava – one of the body’s two main veins – that

runs along the spine and returns deoxygenated blood to the heart from the lower part of the body. “My husband and I and the entire family were in shock,” said the physical education teacher.

“We have no family history of cancer. I had no health problems. How and why this happened – I don’t know.

“I thought I had a kidney problem. Never did I expect cancer.”

Doctors initially told Ms Mohammed, who has since made a full recovery, that removing the tumour through surgery was too risky.

They said she would have to have her pancreas taken out – which would cause her to become diabetic – and risked bleeding to death because of the proximity of the tumour to the critical vein.

She sought a second opinion at government-run Mafraq Hospital, where doctors said they could remove the tumour and avoid having to take out her pancreas, all the while being careful not to nick the vein.

On April 16, Ms Mohammed underwent a four-hour operation to remove the tumour.

“I didn’t know whether to laugh or cry,” she said.

“I was happy that I was in ­capable hands and confident of the doctors but I couldn’t help being scared going into the operating room.”

Dr Salem Al Harthi, general surgery consultant at Mafraq Hospital, helped perform the surgery on Ms Mohammed five months ago.

He was assisted by a vascular surgeon who had to cut a small part of the vein and quickly restore blood flow to avoid her bleeding out.

“We always come across complicated cases … but this was one of the most complex cases I have ever seen,” Dr Al Harthi said.

“The tumour was putting pressure on the pancreas and the duodenum [part of the small intestine] but after we got in there, we realised that the source was actually the inferior vena cava.

“By the grace of God and the patient’s positive attitude, the surgery was a success and the tumour was eradicated.”

Dr Al Harthi said it was the first case of a tumour arising from a major blood vessel that he had seen in his 20-year ­career.

After the surgery and a short stay at the hospital, Ms Mohammed began a three-week course of radiation therapy but may still have to undergo chemotherapy.

“At this point, we don’t see the need for chemotherapy because the tumour has been completely removed, but it is ultimately the decision of a team of oncologists depending on her scans,” Dr Al Harthi said.

The National

Check Also

Rooted in Tradition: Saadiyat Rotana Resort & Villas Celebrates Ramadan Through Local Flavours and Heritage

Ramadan in Abu Dhabi carries a sense of familiarity, a time when traditions are revisited, …